






En Smile Republic, el doctor Héctor Ramírez lidera tratamientos de estética dental y rehabilitación oral con un enfoque integral.
Con más de 10 años de experiencia clínica, su trabajo combina planificación estética y funcional para lograr resultados naturales y duraderos.
Cada tratamiento inicia con un diagnóstico personalizado que permite diseñar una sonrisa armónica respetando la salud oral del paciente.
El objetivo no es solamente mejorar la apariencia, sino lograr equilibrio entre estética, función y salud dental.
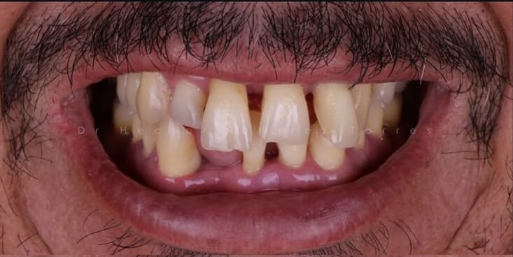
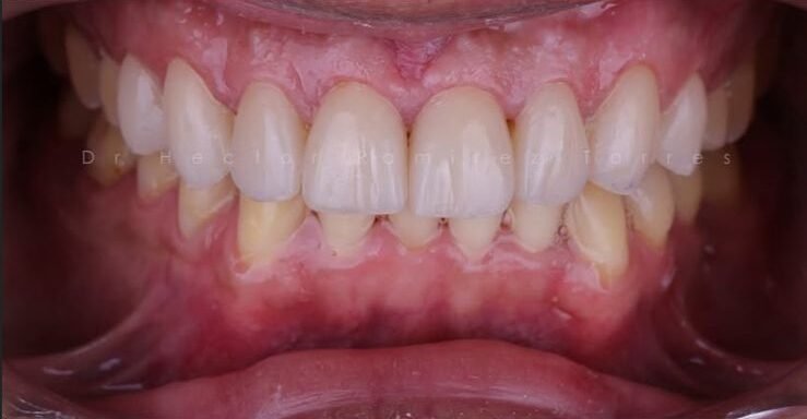
Cambio estruendoso de sonrisa!
18 unidades de ceramica.


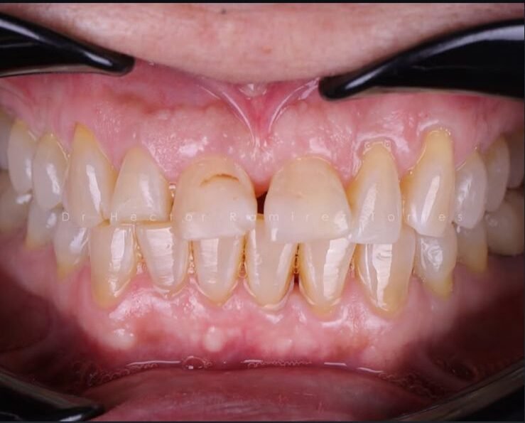
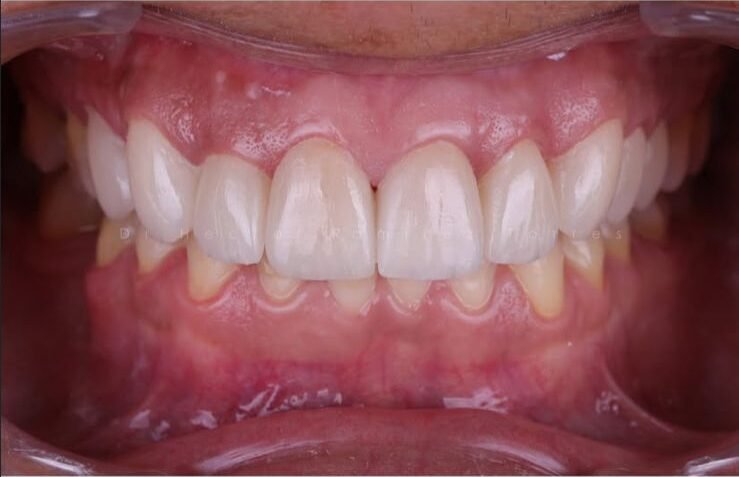
14 Carillas dentales de ceramica, sonrisa completamente renovada!


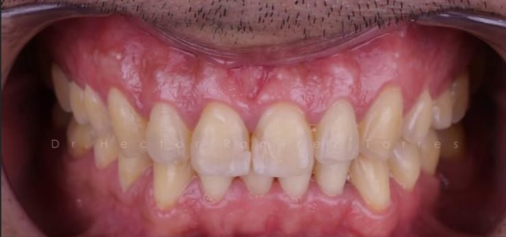
Mini diseño de carillas, de 4 unidades, pocas carillas en resina, pero un gran cambio para nuestro paciente


Mejoria de textura, color y fomra, diseño de ceramica de carillas SR


Caso de diseño de arcada superior en resina


Andrea
Marin
Muy buena la clínica , tienen los servicios bastantes completos desde para niños hasta implantes, ortodoncias , todo .
A mi me atendió el doctor Héctor, tema de resina y lo hace con bastante cuidado y paciencia , siempre muy bien las veces que he ido a la clínica. Recomendado
Anwar
Abud
Shiomara
Sosa Beltran
RICARDO
GONZÁLEZ
Smile Republic cuenta con más de 10 años de experiencia clínica en odontología restauradora y rehabilitación dental y estetica.
Nos enfocamos en diagnosticar con precisión la causa del problema dental y ofrecer tratamientos que permitan preservar la mayor cantidad posible de estructura dental natural.
Cada paciente recibe una evaluación clínica completa antes de iniciar cualquier tratamiento.
Teléfono: +57 311 7961873
Local en Fraccionamiento Las Americas
Local en Fraccionamiento Los Heroes